
známý také jako hallux valgus, je běžný ortopedický problém, který může způsobovat značné nepohodlí a ovlivnit kvalitu života. Tato deformita chodidla se projevuje přiblížením vrchní části palce směrem k ostatním prstům, což může vést k bolestivým otlakům na prstech v místě přiblížení posledních článků.
Mnohem horší je ale místo, kde základní kloub palce je vystrčený ven, vznikaní na něm otlaky a při chůzi mění postavení a používání kloubů výše.
V tomto článku se podíváme na to, co způsobuje vbočený palec, jaké jsou jeho projevy a jaké možnosti řešení jsou k dispozici.
Vbočený palec se vyskytuje u lidí po celém světě, historicky se tento problém často spojoval s nošením nevhodné obuvi, zejména úzkých a špičatých bot. Mnohdy ve spojení se zvýšeným podpatkem. Poslední výzkumy však ukazují, že genetika hraje významnou roli v rozvoji této deformity, protože není výjimečná skutečnost, kdy každé z chodidel je jinak natvarované i když nosí obě nohy stejný druh obuvi.
Důležitou prevencí je prostor pro prsty zvolený vhodnou obuví a aktivací svalů, či jejich mechanickým rozmělněním masáží a cvičením. Dále musíme brát v potaz tvar nohy, zde na obrázku vidíme rozdílné varianty v délce prstů. V masérně vidívám i případy, kdy každá noha může spadat pod jiný typ.
Hlavní faktory, nebo důvody
Nevhodná obuv: Dlouhodobé nošení úzkých bot s vysokými podpatky může zvyšovat tlak na prsty. Svaly tuhnou a to je další střípek skládačky k omezení funkčnosti. Bohužel k těmto botám musíme řadit i kopačky, nebo brusle.
Ploché nohy: Lidé s plochými nohami mají vyšší pravděpodobnost vzniku vbočeného palce, protože jejich chodidla jsou méně stabilní, pružná a přizpůsobivá. Svaly nejsou tolik aktivní a při chůzi nejsou vhodně podporovány a prokrvovány patřičné svaly. Plochonoží se často řeší jako něco nevhodného. Málo se ale hovoří o tom, že chodidla s vysokým nártem jsou ale často větším problémem. To proto, že vysoký nárt při došlapu nepruží a nárazy při neodpruženém došlapu se přenášejí do kloubů výše a do páteře.
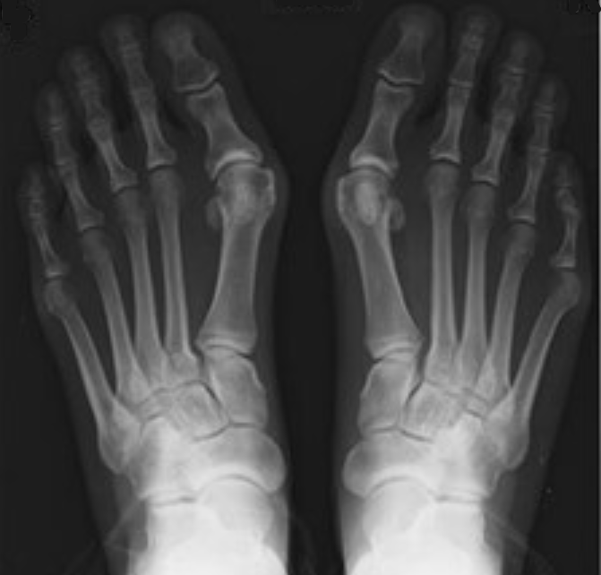
Genetika: Jedním z hlavních faktorů je dědičnost. Pokud někdo z vaší rodiny trpí vbočeným palcem, je pravděpodobné, že i vy budete mít sklony k této deformitě. Pokud se podíváme na řadu snímků chodidel, můžeme si povšimnout, že snímky s halluxem mají ještě k tomu kratší kost v zánártí – oproti prstu ukazováku. Tedy kloub palce je postavený blíže k patě (ve srovnání s vedlejším prstem). A celkové rozložení váhy je méně vyvážené a tím vzniká tento nešvar. O tomto se téměř nikde nedočtete, ale při dlouhodobějším pozorování zjistíte, že to svoji logiku má.
Na obrázku níže vidíme, jak základní kloub palce je o něco blíže k patě než další prsty (jeho kost v nártu je kratší, než kosti dalších prstů). A na pravé noze je to při porovnání s ukazovákem ještě větší rozdíl a proto bychom mohli hledat souvislost s kratší kostí a větším odchýlením palce od ukazováku v místě kloubu.
Revmatoidní artritida: Toto onemocnění může způsobit zánět a deformaci kloubů, což může přispět k rozvoji vystouplého palce a vytváření vápenatých nárůstků na něm. Zvětšený kloub se hůře hýbe a je to začátek koloběhu, který končí bolestí.
Příběhy klientů
Téměř všichni klienti se vbočenými palci se mi v masérně svěřují, že je pro ně obtížné sehnat si vhodnou obuv, která je netlačí. Mnohdy palce bolí i v klidu, bez chůze a samotné cvičení s prsty je těžké a často bez viditelného zlepšení. Mají svaly zkrátka natolik zatuhlé, že i přes úpornou snahu, se jim cvik nedaří provést, nebo necítí zlepšení.
A právě u nich je více než nutné jednat aktivně, tedy vzít nohu do dlaní a rozhýbávat ji!
Aktivní pomoc
Ve chvíli, kdy se snažím rozhýbat základní kloub palce, není pro mě překvapením, že to vůbec nejde. Některé palce jsou opravdu velmi zatuhlé a právě tady je zapotřebí postupovat krok po kroku a začít od toho nejsnazšího a nejméně citlivého, což je kůže.
1.Uvolňujeme kůži– snažíme se rozvolnit kůži tak, aby se mohla hýbat po svalovině a kloubu volně- jako tričko po kůži. Tento postup děláme vždy nasucho a až po rozvolnění namažeme. Když se budete snažit rozhýbat mastnou kůži, nepůjde vám to. Vy potřebujete vyvinout sílu a v tomto případě vám to bude podkluzovat.
Začnete v místě, kde se kůže hýbe nejvíce a postupně přecházejte do dalších míst. Dejte si čas na jednotlivé postupy. Potřebujete, aby tělo zareagovalo. Prokrvovalo se a tkáně uvolňovaly. V žádném případě se nesnažte něco vydržet, urychlit, zadržet dech a nerespektovat klienta.On se potřebuje uklidnit, dýchat a dát čas průchodu bolesti, omezení, zatížení
Začnete v místě, kde se kůže hýbe nejvíce a postupně přecházejte do dalších míst. Dejte si čas na jednotlivé postupy. Potřebujete, aby tělo zareagovalo. Prokrvovalo se a tkáně uvolňovaly. V žádném případě se nesnažte něco vydržet, urychlit, zadržet dech a nerespektovat klienta.
On se potřebuje uklidnit, dýchat a dát čas průchodu bolesti, omezení, zatížení
2.Uvolnění svaloviny– toto je další fáze po uvolnění kůže. Se zatuhlou kůží by to nebylo vůbec příjemné. Pro tyto hmaty je zapotřebí si uvědomit, jak vedou svaly na palci a vy se budete snažit jednotlivá vlákna odlepovat příčně od jejich podkladu, nebo vzájemně od sebe. Ovlivňujeme všechny svaly, kolem dokola celého palce. Čím více jich najdete citlivých, tím úspěšnější bude vaše počínání.
Nejvíc zatuhlý je sval na vnitřní straně palce – ten co směřuje k ukazováku. Chytnete ho palcem ruky a snažíte se ho jakoby pootočit nahoru, na vrchní stranu palce (jako je nehet).
Představte si, že svaly jsou struny na kytaře. Pro vytvoření tónu do nich potřebujete příčně strčit. Tyto struny jsou ještě pevně přilepené ke kosti a proto je jejich hybnost omezená.
3. Poslední a nejnáročnější, je rozhýbat celý kloub. Jednou rukou uchopíte palec a druhá ruka pevně drží (fixuje) celé chodidlo pod kloubem. V opačném případě byste palcem rozhýbali chodidlo v kotníku a základní kloub by se nehýbal.
Palcem kruťte po směru hodinových ručiček i proti. Kývejte s ním, naklánějte, nebo natáčejte jej na ostatní prsty i směrem ven. Zkrátka zkoušejte, co půjde a co bude pro vás i palec únosné.
Není ojedinělé, že v tomto kloubu uslyšíte chroupání, přeskakování a různé omílání nečistot a nerovností.
Obzvláště v této fázi je zapotřebí vložit pauzu a pokračovat třeba na druhé noze. Je to velmi citlivý krok a je zapotřebí nechat tělo prokrvit tuto rozvolněnou část a nechat odplavit nečistoty.
Teprve v případě, kdy je palec rozhýbaný, můžeme přicházet s cviky:
Přitahovač palce je sval, který přitahuje palec směrem k ukazováku. A ten je právě při diagnóze vbočeného palce zkrácený, proto je třeba ho aktivovat a protáhnout.
Konkrétní řešení v pomoci palce a kompletně celé nohy od kyčle dolů, naleznete ve výukovém videu.
Pasivní řešení:
Stélky do bot
Někteří klienti si pochvalují stélky s prohloubením pod samotným kloubem. Na toto se specializují Boty Hanák
Jiní mají v oblibě právě v tomto místě kloub podložit a tím vyrovnat změny v rozložení váhy, které právě způsobují dané zvětšení palce. Toto řeší stélky Formthotics, které upraví konkrétně každý sklon a specifikaci pravé a levé nohy individuálně.
Oddělovače prstů
Mohou být silikonové, nebo formou adjustačních ponožek. Obě tyto varianty spravedlivě oddělí všechny prsty a podporují tak prostor nohy v příčné klenbě.
Tejpování palce
Toto je vhodná alternativa, kdy potřebujete palec vhodně natvarovat například do bot. Vždy se o vhodném lepení poraďte s odborníkem, který má v tomto své zkušenosti. Špatným lepením a použitím tejpu si můžete značně ublížit.
Bandáž palce
Tato pomůcka je běžně k sehnání v lékárně, nebo zdravotnických potřebách. Můžete si ho sami prohlédnout, vyzkoušet. Oproti tejpu nepotřebujete žádné zkušenosti, nasadíte, sundáte dle potřeby.
Vhodná obuv
Toto je velmi nároční téma, kdy o vhodnosti máme každý své představy. V základu by to měly být boty, které jsou prostorné pro prsty a vaše chodidlo v něm bude schopné plně roztáhnout prsty od sebea nikde nic netlačí. K tomu se nabízejí barefoot boty, nebo bosoboty. Ty jsou stále oblíbenější a mají nezpočet variant. Na co ale výrobci zapomínají, je odpružení. Téměř všechny boty, které jsou v nabídce mají slabé odpružení paty. Toto jsou boty vhodné do přírody, na procházky měkkým terénem a ne do města. Proto s klienty řeším patní ostruhy, či bolavé došlapy právě po zkušenosti s tímto obutím.
Mým mottem je: „kdo si umí poradit sám, ten vyhrává“ a proto se vždy snažím jít na omezení a nesoulad pozvolna, hledat příčinu a teprve až když tyto postupy selžou, dostává zelenou invazivní postup.
To, jak s vašim palcem budete zacházet vy, je zcela na vás. Jen je důležité zvážit závažnost, možnosti a rizika jednotlivých postupů.
Hledáte více? Podívejte se na
další e-booky, které jsem napsala


eBook, který může změnit vaši masérskou praxi.


eBook, který Vám ukáže možnosti pro celou rodinu.


eBook, vám řekne jak si vybudovat první masérnu